Before and After


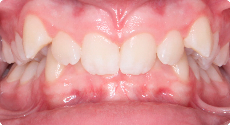
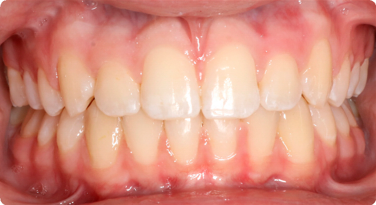
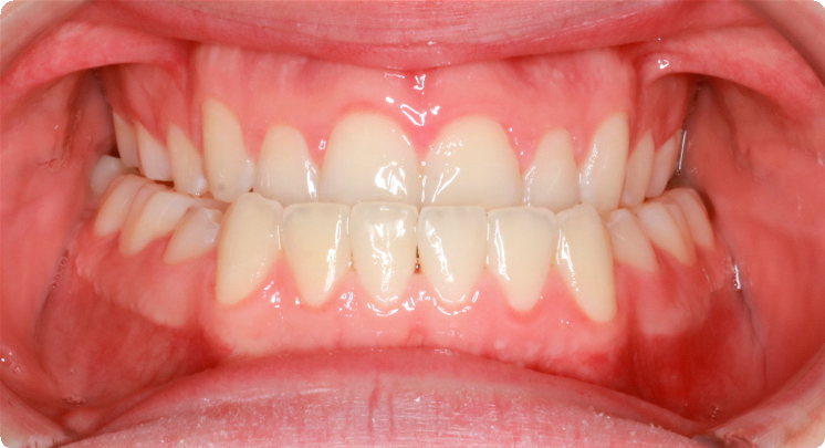
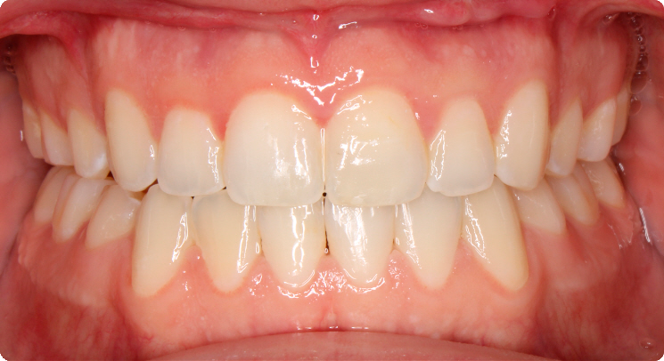
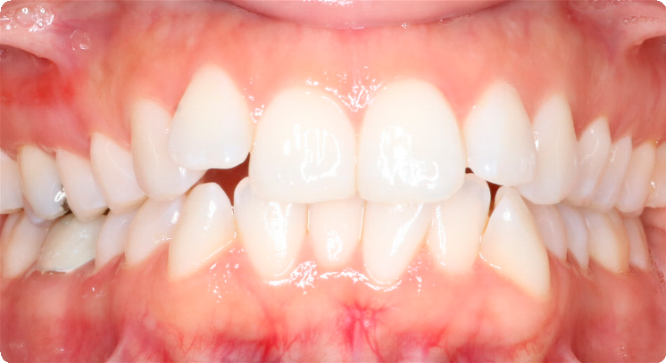
This patient had crowding of upper and lower teeth and a deep overbite. She was treated with traditional braces and a Herbst appliance to correct her overbite.






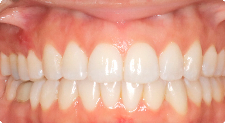
This patient had crowding of upper and lower teeth and a deep overbite. She was treated with traditional braces and a Herbst appliance to correct her overbite.



